6 min read
Inside Open-LIFU: How We Open-Sourced a Focused-Ultrasound Research Platform
Dan Blizinski
:
Mar 16, 2026 3:33:08 PM
The second post in our series exploring Openwater's vision, technology, and community.
A Different Kind of Neuroscience Tool
Non-invasive brain stimulation has enormous potential to reshape how we understand and address neurological and psychiatric conditions. For the past few decades, transcranial magnetic stimulation has been the field’s workhorse, capable of modulating cortical activity but limited to shallow targets with relatively broad spatial resolution. Transcranial direct current stimulation offers another non-invasive option, though with even less spatial specificity. Deep brain stimulation offers precision but requires neurosurgery. Each of these tools has produced meaningful clinical results. Each carries significant constraints.
Low-intensity focused ultrasound is a different kind of tool. LIFU uses acoustic energy to reach targets deeper in the brain than electromagnetic methods can, and with higher spatial resolution. It does this non-invasively. And while neuromodulation has driven much of the recent excitement, focused ultrasound, as a technology, has a broader range of applications, including drug delivery, diathermy, and other therapeutic areas. The research community's interest has grown rapidly as the potential has become clearer.
But access to focused ultrasound research tools has not kept pace with that interest. Commercial systems are expensive, closed, and difficult to customize. For most labs, the barriers to entry are real. And those barriers aren't just financial. Closed hardware and proprietary software limit a researcher's ability to understand, modify, and validate the tools they're using on human subjects. When you can't inspect the code that determines where acoustic energy is delivered, or adapt the hardware to your specific research protocol, you're constrained in ways that slow the science down.
That's the gap Open-LIFU was built to address.
What Open-LIFU Actually Is
Open-LIFU is the first commercial open-source platform for planning and delivering focused ultrasound sequences for neuromodulation research. The platform’s hardware and software are deployed and actively in use at many leading institutions.
The software has three layers, each designed to serve a different user:
The Python library (openlifu) is the foundation. It contains the core algorithms for sonication planning, target localization, transducer fitting, ultrasound beam simulation, and beam-steering calculations. Researchers who want to integrate focused ultrasound planning into their own computational pipeline can install it, import it, and build directly on top of it.
The 3D Slicer extension (SlicerOpenLIFU) is built for engineering users who need the full flexibility of 3D Slicer, the world's most widely adopted open-source medical image processing platform. It provides an advanced interface for pre-planning sonication targets, fitting the transducer into the patient's MRI space, and navigating sonication control. If you already live in the 3D Slicer ecosystem, Open-LIFU integrates directly into your workflow.
The standalone desktop application (openlifu-desktop-application) is designed for clinical researchers who need a streamlined experience without the complexity of a full research platform. It provides a guided workflow for planning and controlling sonications, accessible to users without engineering backgrounds. We ultimately expect this model to scale: multiple standalone applications, each built on modifications to the lower layers, could power a range of commercial medical devices built on the Open-LIFU platform.
These layers share the same foundation. The Python library powers the algorithms underneath; the interfaces sit on top, tailored to different workflows. Because it's all open source, the community can extend any layer.
The Hardware: Modular by Design
The core hardware component of Open-LIFU is the transmit module, which contains a 64-element 2D matrix array. In the current transcranial neuromodulation headset, two modules are pitched toward each other, yielding a total of 128 elements that operate at 400 kHz. This modular design means these transmit modules can be configured into different housings for different applications; the neuromodulation headset is one instance of a broader platform.
Unlike conventional focused ultrasound transducers that must be precisely hand-positioned to align their fixed focal point with the brain target, Open-LIFU's phased array can electronically steer the ultrasound beam to the target after placement. The headset only needs to be placed so that the target is roughly in the field of view; the array handles the fine positioning. Future versions of the platform aim to add skull geometry compensation and multi-location rastering to a sonication sequence. Still, even in its current form, the electronic steering represents a meaningful step forward in usability for research settings.
How a Session Works
The workflow for a transcranial neuromodulation session looks like this:
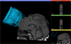
First, a subject gets an MRI. In the pre-planning phase, the researcher uses the software to identify the sonication target and virtually fit the transducer into the MRI space, planning its positioning to steer the beam to the intended location. This happens before the subject comes in for a session.
During a session, the subject puts on the headset. An Android companion app captures photos of the patient wearing the device using photogrammetry, creating a 3D surface scan that registers the physical transducer position with the pre-planned MRI coordinates. The software then calculates the ultrasound energy at the target, accounting for the headset's actual position and the geometry of the patient's skull.
Then the sonication is delivered. Session duration depends on the research protocol: no incisions, no anesthesia, no recovery time.
The Evidence
An important piece of context: the research studies described below were conducted using an earlier generation of Openwater’s focused ultrasound hardware, which preceded the current Open-LIFU platform. That earlier system used a different ultrasound array, different driving electronics, a different neuronavigation method, and different software. The current Open-LIFU platform has been designed to replicate the acoustic sequences used in those studies, but we want to be precise about what produced these results and what the current platform is capable of.
With that said, the results are worth understanding.
At the University of Arizona, Dr. John J.B. Allen led a study using Open-LIFU to deliver targeted LIFU pulses to the anterior medial prefrontal cortex, a part of the brain's default mode network that's implicated in the persistent negative thought patterns characteristic of depression. Twenty participants with treatment-resistant depression underwent 11 sessions of 10 minutes each over three weeks. Less than two hours of total sonication time.
The results, published in Frontiers in Psychiatry, showed that 45% to 60% of participants experienced significant reductions in depression severity. Thirty-five percent achieved clinical remission. Participants reported substantial decreases in repetitive negative thinking, improved psychological well-being, and enhanced quality of life. The dropout rate was only 10%, compared to up to one-third of patients who fail to complete traditional treatments. No significant adverse effects were reported.
These are early results from a small study. Larger randomized controlled trials are needed. But the signal is strong enough that institutions are taking notice.
At MIT Lincoln Laboratory, Dr. Daniel Freeman's team is using the latest version of Open-LIFU for something even more fundamental: studying how the brain produces conscious experience. Their research explores how specific brain structures contribute to perception and awareness, reaching deep brain targets with a precision previously not possible outside the operating room.
And in January 2026, TIESA announced it would deploy Open-LIFU for research-driven mental health care programs, marking one of the first uses of the platform outside traditional academic settings.
Note: Open-LIFU is a research platform. It has not been cleared or approved by the FDA for clinical use. All references to clinical applications describe research investigations, not approved medical interventions.
Why Open Source Matters for This Technology
The software that plans and delivers focused ultrasound to the brain is available on GitHub under a permissive open-source license. This isn’t a marketing decision. It’s a design decision that shapes how the technology gets used, validated, and improved.
This matters for reasons that go beyond philosophy.
Reproducibility. When a research team publishes results using Open-LIFU, other teams worldwide can examine the exact software and hardware that drove the sonication planning. They can run the same algorithms against their own data. They can identify assumptions or variables that might have been missed. The platform’s open-source software enables this kind of methodological transparency. In a field where proprietary tools have historically made it difficult. (We should note that the hardware designs are still catching up to the software in terms of open documentation. It’s a work in progress, and we are committed to closing that gap.)
Safety through transparency. Research devices that deliver energy to the brain should not be black boxes. Researchers and IRBs should be able to inspect every algorithm that determines where acoustic energy is delivered and at what parameters. Open-source code is auditable code. The safety data is shared. The hardware designs are inspectable. This transparency matters for the kind of trust that the global research community needs before using a new tool on human subjects.
Parallel innovation. Right now, research teams at multiple institutions are exploring OpenLIFU's potential across depression, anxiety, consciousness, pain, cancer, and more. When those teams build on a shared, open platform, each group's work informs the others. Safety observations from one trial strengthen the knowledge base for every subsequent protocol. This is how a platform compounds through the work of many hands, building on a shared foundation.
Cost accessibility. Open-source hardware designs, combined with consumer-grade electronics and community-driven software development, create a fundamentally different cost structure than proprietary systems, which can run into the hundreds of thousands of dollars. As manufacturing volumes grow and the platform matures, we expect significant cost reductions. The goal is to make focused ultrasound research accessible enough that the deciding factor is scientific merit, not equipment budgets.
Getting Involved
For researchers: Open-LIFU hardware is available through Openwater's Early Access program. The software is on GitHub now. If you're running a neuromodulation lab or planning focused ultrasound research, the platform is ready for your evaluation. We can help you get started.
For developers: The openlifu Python library is the best entry point. Browse the codebase, read the documentation, and check the issues labeled "good first issue." Kitware, the medical imaging software company, collaborated on the architecture with the explicit goal of making it extensible.
For clinician-scientists: If you're investigating focused ultrasound for research applications, whether depression, pain, neurological conditions, or something we haven't imagined yet, we want to hear from you. Clinical insight drives the platform's direction, and partnerships with clinical researchers validate the technology's effectiveness.
For everyone: Follow our progress, ask questions, challenge our assumptions. The whole point of building in the open is that the best ideas come from unexpected places.
Explore the code: github.com/OpenwaterHealth
Read the research: Frontiers in Psychiatry — LIFU for Depression
Join the community: openwaterhealth.github.io/openwater-community
Get started: openwaterhealth.github.io/openwater-community/get-started.html
Questions? community@openwater.health
This is the second post in our series exploring Openwater's vision, technology, and community. Previously: [Open Source, Open Access, Open Future — Our Vision for Ethical Medical Device Innovation]. Next up: Open-MOTION — how we're using near-infrared light to detect stroke in minutes.
Inside Open-MOTION: How We’re Using Light to Detect Stroke in Minutes
The third post in our series exploring Openwater’s vision, technology, and community.

.png?width=300&height=169&name=Copy%20of%2020240801_Openwater_level_Lifu_Head%20Context%20(1).png)