Currents & Waves 

The Openwater Signal

Sign Up Today

Open-MOTION

10 min read

Building the Community: How Open Source Is Reshaping Medical Device Development

The fourth post in our series exploring Openwater’s vision, technology, and community.

Read More

7 min read

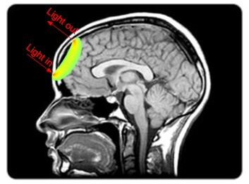
Inside Open-MOTION: How We’re Using Light to Detect Stroke in Minutes

The third post in our series exploring Openwater’s vision, technology, and community.

Read More